历史上的今天
今天是:2025年02月03日(星期一)
2020年02月03日 | 疫情防疫,手上消毒,手机更要消毒
2020-02-03 来源:飞象网
一场突如其来的疫情,让这个春节多了一些关键词——武汉、新型冠状病毒、口罩、隔离……

从去年年底发现确诊病例到今天,一个多月的时间疫情一直处于扩散阶段。那么,这场突然爆发的新型冠状病毒肺炎是如何发生和传播的?我们使用最为频繁的手机又为什么会成为病毒载体?
什么是新型冠状病毒
冠状病毒是一大类病毒,冠状病毒是一大类常见于动物的病毒。据美国疾病控制和预防中心称,在极少数情况下,它们是科学家所称的人畜共患疾病,也就是说它们可以从动物传染给人类。
这种病毒能使人生病,通常是轻微(或中度)上呼吸道疾病,类似于普通感冒。冠状病毒的症状包括流鼻涕、咳嗽、喉咙痛,可能是头痛,也可能是发烧,持续几天。对于那些免疫系统弱的人,老年人和非常年轻的人来说,病毒有可能引起一种较低、更严重的呼吸道疾病,如肺炎或支气管炎。有一些人类冠状病毒已知是致命的。中东呼吸综合征(Middle East Respiratory Syndrome,简称MERS病毒)于2012年在中东首次报道,也会引起呼吸系统问题,但这些症状要严重得多。疾控中心称,每10名感染MERS的患者中就有3至4人死亡。

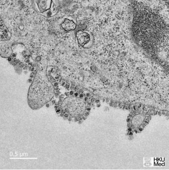
香港大学研究人员于1月31日公布首批新型冠状病毒在细胞内复制过程的图像。通过新型冠状病毒的薄片电子显微图像显示,病毒粒子从受感染细胞的表面释放出来,每个受感染的细胞会衍生出数以千计的病毒粒子,从而继续感染新细胞。
传播途径
冠状病毒可能的传播途径有三个:一是通过咳嗽或打喷嚏在空气传播;二是与病人的密切接触;三是触摸被污染的物体表面,然后用脏手触碰嘴巴、鼻子或眼睛。

手机有可能成为病毒载体
既然病毒可以通过手触碰嘴巴、鼻子或眼睛来传播,我们每天平均触碰最为频繁的手机成为病毒载体就不足为奇了。
根据资料显示,早在2018年就有英国的研究机构进行过测试,分别对三款流行的手机(iPhone,Google Pixel和Samsung Galaxy),马桶座圈和抽水马桶,还有办公室的键盘和鼠标对比测试酵母、霉菌和细菌的数量,结果令人担忧。
马桶座圈和抽水马桶中的细菌含量均低于三星Galaxy和iPhone,而且所有智能手机的细菌含量均比办公室键盘和鼠标高得多。
测试还发现,智能手机屏幕上的细菌、酵母菌和霉菌含量最高,每平方厘米存在254.9单位的感染。

(△图源- insurance2go)
而美国亚利桑那大学一项研究同样发现发现,手机中携带的细菌比大多数马桶座圈多10倍。并发现了潜在致病性微生物(金黄色葡萄球菌,不动杆菌属,假单胞菌属,蜡状芽孢杆菌和黄萎病杆菌)

所以,防范新型冠状病毒肺炎在注意洗手的同时,也应该注意手机的卫生和消毒。
据中国疾控中心消毒学首席专家张流波31日说:手怎么消毒,手机就怎么消毒。勤洗手的同时,手机也要常用酒精、消毒纸巾擦拭。此外衣物从外面回家要换下,并做清洗消毒处理,比如以56摄氏度以上的水浸泡清洗半个小时。
因为手机是我们经常用到的东西,我们在外手机的过程中或有病毒依附在表面,而我们触摸手机的时候,会将病毒转移到我们的手上,所以回到家中一定要将手机进行消毒,进而减少被病毒感染的风险。
史海拾趣
|
6410 LCD I80 接口 是不是 接 MCU 接口的LCD 屏的? 6410 LCD I80 接口 是不是 接 MCU 接口的LCD 屏的? 有谁用过 6410 LCD I80 接口?… 查看全部问答> |
|
rt_main函数进行vxworks实时仿真时需要注意的地方 各位: rtw编译后,仿真得出的模型.lo,在vxworks下总是找不到rt_main里面的一个函数:rt_ODEUpdateCouinousState,这是为什么啊?麻烦各位帮个忙指点一下… 查看全部问答> |
|
公司名称: Carrier Access 公司网址: http://www.carrieraccess.com 电子邮箱: lshi@carrieraccess.com,简历请注明信息出处 工作地点: 上海 外语要求: 英文良好 简历接收方式: 英文及中文 学历: 本科以上 职位描述: RESPONSIBILITIES: ...… 查看全部问答> |
|
Table of Contents 1. EE_FPGA 学习板板载资源简介 ........................................................................................... 42. EE_FPGA 学习板焊接必备的工具 ........................................................ ...… 查看全部问答> |
|
弱弱的问一句。大家在做控制类题的时候有没有用DSP的,是否具有优势呢? 本帖最后由 paulhyde 于 2014-9-15 09:03 编辑 感觉DSP很难啊 可是指导老师让我们学习这块芯片啊,真是有点茫然了,求意见啊。 … 查看全部问答> |
|
“如果还有人幻想用粘不干胶、贴塑料纸、抹机油的方式躲避电子眼,那么有了电子标签,一切都将沦为浮云。”互联网从业者黄小龙告诉记者,高峰期出行添堵,想要借用“大运专用道”的车友,也会因为电子车牌难以鱼目混珠。事实上,今年以来RFID(射频 ...… 查看全部问答> |
|
采用的C8051F021单品机 选用串口1 波特率38400 由定时器4提供波特率 但是我发现串行通信发送数据的时候每隔一段时间就会出现丢数的情况发送采用的是中断的方式 采用查询的方式就不会出现这样的问题 ...… 查看全部问答> |




